用户名
UID
Email
密码
记住
立即注册
找回密码
只需一步,快速开始
微信扫一扫,快速登录
开启辅助访问
收藏本站
快捷导航
门户
Portal
社区
资讯
会议
市场
产品
问答
数据
专题
帮助
签到
每日签到
企业联盟
人才基地
独立实验室
产业园区
投资机构
检验科
招标动态
供给发布
同行交流
悬赏任务
共享资源
VIP资源
百科词条
互动话题
导读
动态
广播
淘贴
法规政策
市场营销
创业投资
会议信息
企业新闻
新品介绍
体系交流
注册交流
临床交流
同行交流
技术杂谈
检验杂谈
今日桔说
共享资源
VIP专区
企业联盟
投资机构
产业园区
业务合作
投稿通道
升级会员
联系我们
搜索
搜索
本版
文章
帖子
用户
小桔灯网
»
社区
›
H、检验医学区
›
病理检验
›
如果病理都是错误的,我们该怎么办?
图文播报
2025庆【网站十二周
2024庆中秋、迎国庆
2024庆【网站十一周
2023庆【网站十周年
2022庆【网站九周年
2021庆中秋、迎国庆
返回列表
查看:
2909
|
回复:
0
[分享]
如果病理都是错误的,我们该怎么办?
[复制链接]
病理医师
病理医师
当前离线
金桔
金币
威望
贡献
回帖
0
精华
在线时间
小时
雷达卡
发表于 2025-5-28 08:58
|
显示全部楼层
|
阅读模式
登陆有奖并可浏览互动!
您需要
登录
才可以下载或查看,没有账号?
立即注册
×
前言:
我们都知道肺结节到底是良性还是恶性,以及恶性中的何种类型,切除以后的病理才是金标准。但是病理也是人看的,如果病理判定本身存在问题,那到底叫临床医生以及患者怎么办?前段时间有位问诊的肺结节术后患者,影像上是纯磨玻璃结节,病理描述上是乳头与微乳头生长为主,病理报告上是微浸润性腺癌!到底哪个才是正确的?术后到底要不要辅助治疗?风险到底高不高?
病史信息:
基本信息:
女性, 38岁。
疾病描述:
肺结节手术后,病理显示微浸润性肺腺癌,但是乳头和微乳头生长为主,请问后续还需要如何治疗,需要扩大切除吗?为什么它不是贴壁成分为主,却判定为微浸润性呢,是不是病理判定不准确啊?影像为5㎜混合磨玻璃结节,病理却为实性??这种微乳头为主的浸润性腺癌预后怎么样?
希望获得的帮助:
请问主任,她还需要扩大手术吗?需要吃靶向药和化疗吗?他这种微乳头成分这么高的,预后怎么样,转移复发的概率情况?病理有问题吗,需要申请病理会诊吗?
影像展示与分析:
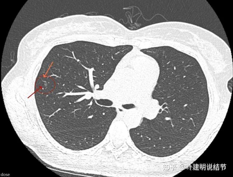
病灶出现,磨玻璃密度,有微小血管似走向病灶,挨得较近。
整体轮廓清,密度稍不均,与周围血管挨的比较近。
瘤肺边界清,有极微细的血管似进入病灶,但肯定没有异常增粗与显著穿行。
瘤肺边界清,整体轮廓清楚。
有微血管进入。
微血管进入以及部分边缘细毛刺征。
部分边缘表面不光滑,略毛糙。
2023年2月份的形态与密度测量值(患者提供的截图,我是从来没有测量具体数值的)
2024年3月手术前的病灶形态与测量CT值。
影像判断:
右上叶磨玻璃密度结节,没有实性成分,灶内密度稍不均,整体略显高,但肯定没到实性密度;整体轮廓清,瘤肺边界清楚,随访持续存在,符合磨玻璃为表现的早期肺癌影像;有微血管进入但无异常增粗或穿行;部分边缘略不平整,有细毛刺征。单从影像特征考虑,此病灶应该与原位癌或微浸润性腺癌比较符合,也不能除外浸润性腺癌的贴壁为主型。但风险不高,切缘阴性应该就是治愈。
病理结果:
手术的病理报告:
这是一份奇怪的、看不懂的病理报告:诊断的组织类型是微小浸润性腺癌,非粘液性。也就是我们平时说的“微浸润性腺癌”。但在镜下所见的描述中,却是:绝大部分肿瘤呈乳头状、微乳头方式生长,小部分呈贴壁样生长。
我们来看看微浸润性腺癌的定义是怎么的:
这是肺癌诊疗指南中的对于腺癌不同亚型的定义,其中的微浸润性腺癌是指:小于等于3厘米的单发腺癌,界限清楚,以附壁生长为主,浸润癌形态应为附壁以外的其他形态,浸润间质最大径小于等于5毫米,除外脉管侵犯、胸膜侵犯及肿瘤细胞气道内播散等危险因素。肺内多发病灶也适用此诊断,但要除外肺内播散的可能性。
由此我们能得出的诊断微浸润性腺癌的必备要素包括:
1、小于或等于3厘米:
也就是说大于3厘米的,即使是贴壁为主型仍要诊断为浸润性腺癌;
2、以贴壁成分为主:
如果以乳头型、腺泡型、微乳头、实体型、复杂腺体型等其他亚型为主的,便不能诊断为微浸润性腺癌;
3、浸润灶不能大于5毫米:
如果超过5毫米就不能诊断为微浸润性腺癌,而是浸润性;
4、不能有高危因素(包括脉管侵犯、胸膜侵犯及气腔播散):
有其中任一高危因素就是浸润性腺癌。在另外病理的文献中,还有要除外坏死,肿瘤有坏死也不能诊断为微浸润性腺癌。
显然按微浸润性腺癌的定义,今天分享的这个病例若依病理描述是乳头与微乳头生长为主,少部分贴壁,怎么还能诊断为微浸润性腺癌呢?这个病理诊断必是错误的!
我的回复:
你这个病灶影像上是磨玻璃密度的,没有实性成分,随访进展也不明显。但病理的诊断有误,如果按该医院的病理描述,应该诊断为浸润性腺癌,中分化。
但是如果微浸润性腺癌的定义都没搞清楚的病理科医生,对于其判断乳头与微乳头为主型,我表示怀疑。
综合来看,你的结节应该恶性程度不会高,若仅从影像上看是像微浸润性腺癌的,位置这么边上,已经切缘阴性,我个人不建议再进行扩大切除。因为退一万步讲,真的是高危亚型占比多,容易血行微转移,并导致预后不良,你局部扩大切除并不能解决问题。我倒建议你借出标本病理会诊一下,如果给出不同诊断意见的,则你就安心。意见供参考!
你的情况有代表性,虽然病理是金标准,但病理诊断也是医生阅病理片后做出的,病理科医生会有不一致性,病理科医生的水平不同也会影像诊断结果,对于质疑病理科医生的不一致性,非常有意义。
我下次找机会分析下,希望借此引起相关病理科同道的注意,也提醒结友们要辩证看待病理确诊的问题,希望你能同意(不会出现具体医院与个人信息)。
感悟:
病理诊断是关系到肿瘤类型与后续治疗与否,预测患者预后的最为关键的因素,如果病理科的医生连微浸润性腺癌的概念都没有搞清楚,那让临床医生以及患者如何是好?
当然对于术后是否需要基因检测、辅助治疗,我一直的观点都是综合评估、按风险大小来考虑,不要只按病理结果来定。而是结合影像表现、随访进展情况、病理类型、是否多发、年纪大小、患者意愿等全面评估考虑。
1A期按指南不需要术后辅助治疗,但若大小2.9厘米,中低分化,并有脉管侵犯、胸膜侵犯、气腔播散等高危因素,难道与大小3.1厘米的差别?又如磨玻璃密度表现,大小达5厘米以上,贴壁为主型,没有转移情况下,分期都2B期了,难道中期偏晚了?难道要化疗了?所以呀,要从临床实践出发,不拘泥于某一个指标,利弊权衡、综合评估才能做到患者的利益最大化。
原文地址:https://zhuanlan.zhihu.com/p/693101773
楼主热帖
小桔灯网业务合作须知!
如何注册小桔灯网VIP会员?
破局 | 巨头们正在剥离IVD
[
同行交流
]
禁止进口的旧仪器有哪些?
[
免疫仪器
]
瑞派宠物医生:穿越宠物眼科“手术禁区”,争分夺秒镌刻生命印记
[
血球仪器
]
女生主动起来会有多主动?
[
血球仪器
]
超详细解读——免疫组化实验,建议收藏!
[
免疫组化技术
]
医学检验技术专业研究生毕业后去医院好还是IVD行业好?
[
同行交流
]
体系审核中经常会遇到的问题和应对策略
[
NMPA体系考核
]
第11批国采来袭!75个品种大清单曝光,这些药价要“跳水”了?11批国采启动前,清单泄露?集采6年回头看:谁哭了?谁笑了?
[
同行交流
]
回复
使用道具
举报
提升卡
返回列表
发表回复
高级模式
B
Color
Image
Link
Quote
Code
Smilies
您需要登录后才可以回帖
登录
|
立即注册
本版积分规则
发表回复
回帖后跳转到最后一页
浏览过的版块
液体活检技术
科学研究
关闭
官方推荐
/3
【扫描左侧二维码关注微信】参与交流!
网站定期开展行业相关话题互动交流活动!对认真参与讨论的桔友将有金桔奖励!欢迎参与。
查看 »
IVD业界薪资调查(月薪/税前)
长期活动,投票后可见结果!看看咱们这个行业个人的前景如何。请热爱行业的桔友们积极参与!
查看 »
小桔灯网视频号开通了!
扫描二维码,关注视频号!
查看 »
返回顶部
快速回复
返回列表
客服中心
搜索
官方QQ群
洽谈合作
关注微信
微信扫一扫关注本站公众号
个人中心
个人中心
登录或注册
业务合作
-
投稿通道
-
友链申请
-
手机版
-
联系我们
-
免责声明
-
返回首页
Copyright © 2008-2024
小桔灯网
(https://www.iivd.net) 版权所有 All Rights Reserved.
免责声明: 本网不承担任何由内容提供商提供的信息所引起的争议和法律责任。
Powered by
Discuz!
X3.5 技术支持:
宇翼科技
浙ICP备18026348号-2
浙公网安备33010802005999号
快速回复
返回顶部
返回列表