立即注册找回密码

QQ登录

只需一步,快速开始

微信登录

微信扫一扫,快速登录

搜索
小桔灯网 门户 资讯中心 企业杂谈 查看内容

心脏标志物检测新纪元,POCT助力早期诊断!(内含福利)

2025-5-27 10:20| 编辑: 沙糖桔| 查看: 2112| 评论: 0|来源: 小桔灯网

摘要: 传统的心血管疾病诊断方法需要大型医院设备,耗时且不便



急性心肌梗死

一个令人闻风烂胆的名字!!!

它指的是因冠状动脉狭窄等造成的急性、持续性的缺血缺氧,进而导至心肌坏死。在症状出现后的的最初几小时内,死亡率较高,约30%至50%的心肌梗死患者可能在发病后的一小时内死亡。其生存下来的患者5年内死亡率可能高达20%至30%。根据世界卫生组织(WHO)数据,每年约有1790万人死于心血管疾病(CVDs),占所有全球死亡人数的32%, 成为全球健康的主要威胁之一[1]




产品亮点抢先看

随着人口老龄化和生活方式的变化,心脏疾病的发病率逐年上升,市场对心脏标志物检测的需求也随之增加。POCT(Point of care testing)在心血管疾病的早期诊断中展现出巨大的潜力。传统的心血管疾病诊断方法需要大型医院设备,耗时且不便,而POCT提供了快速、便携易于使用的替代方案,尤其在资源有限的医疗环境中,越来越受到临床实验室和医疗机构的青睐。




快速检测

操作简便

成本效益

灵活场景

这些优势使得侧向层析成为心脏标志物检测的理想选择,为临床医生提供了更为高效的检测工具。随着技术的不断进步和医疗需求的增加,心血管生物标志物的POCT检测将成为医学领域的重要发展方向 [2]

图1. 基于POCT检测方法诊断心血管疾病的心脏生物标志物 [2].


CVDs标志物概览

研究表明,肌酸激酶同工酶(CKMB)、肌红蛋白(MYO)、心脏肌钙蛋白I(cTnI)和N末端脑钠肽前体(NT-proBNP)在急性心肌梗死(AMI)患者中的联合检测具有重要价值。这四种生物标志物的联合检测显著提高了AMI的早期诊断灵敏度,达到了92.79% [3]

使用免疫荧光方法对其进行检测,能够在10到15分钟内同时检测肌红蛋白(Myo)、CKMB和心脏肌钙蛋白I(cTnI)。Myo、CKMB和cTnI的检测范围分别为5 ng/mL到500 ng/mL、1 ng/mL到70 ng/mL和0.05 ng/mL到30 ng/mL。该方法在急性心肌梗死(AMI)患者中显示出高灵敏度和良好的重复性[4]

图2. 心肌损伤后,cMyC和cTn释放过程 [5]


默克诊断原材料助力CVDs指标准确检测

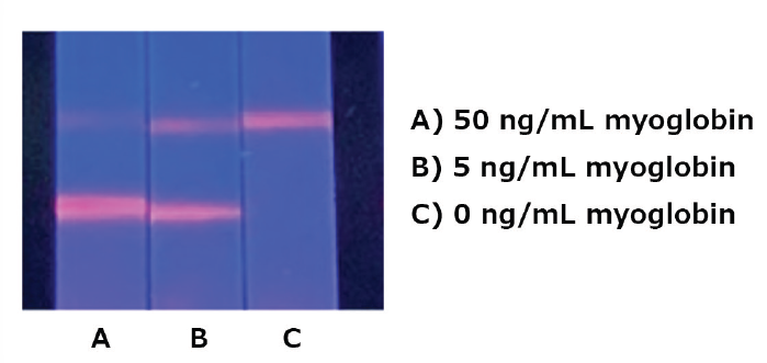
一份来自内部测试数据显示,使用默克Hi-plusTM 系列膜产品搭配荧光微球,对样品中Myo进行检测,最终实现5-50ng/ml Myo的准确检出。


核心原料配方概览

组分

试剂货号

硝酸纤维素膜

Millipore®, HF13502S25

时间分辨微球

Millipore®, 80380624

样品垫

Millipore®, CFSP223000

结合垫

Millipore®, GFDX203000

T线抗体

Sigma-Aldrich®, MABX7611

检测抗体 

Sigma-Aldrich®, MABX7612

C线抗体

Sigma-Aldrich®, M8890

紫外光下,肌红蛋白侧向层析试纸的定性检测清晰准确显示出默克的层析膜产品在心脏标志物检测中具有独特优势。

图3. 紫外光下,肌红蛋白侧向层析试纸定性检测结果[6]


Hi-Flow™ Plus膜专为侧向层析优化

默克 Hi-Flow™ Plus 硝酸纤维素膜按照最严格的标准制造,提供无与伦比的表面质量。该膜可提供优秀的均一性和稳定的批间差,确保检测结果的一致性。我们的膜材料经过精心优化,具备优秀的特异性、灵敏度和蛋白偶联效率,确保检测结果的准确性。



限时福利

还在为搭建心脏疾病检测平台发愁?或现有其他项目需要优化升级?默克Hi-Flow™ Plus 硝酸纤维素就是你的专属加速器,为您超能助力。即日起至5月30日,扫码填写调研问卷,让我们更加了解您的需求,前30名填写真实有效问卷的客户即有机会获得免费样品或实用好礼,先到先得。

↓↓↓ 精美礼品 ↓↓↓

 活动说明:

▸ 仅针对企业终端客户

▸ 收到申请后,我们会尽快审核并安排销售同事与您联系

▸ 本活动最终解释权归默克所有

引用文献

1.World Health Organization. WHO - Cardiovascular diseases

2.Advanced point-of-care biomarker testing for the diagnosis of cardiovascular diseases. (2021). Advances in Clinical Chemistry, 104, 1-70.

3.Clinical value of combined detection of CK-MB, MYO, cTnI and plasma NT-proBNP in diagnosis of acute myocardial infarction. (2017). Clinical Laboratory, 63(3), 427-433.

4.Rapid diagnosis of acute myocardial infarction through integrated microfluidic chips for detection of characteristic targets. (2024). Analytical Biochemistry, 689, 115-502.

5.Direct comparison of cardiac myosin-binding protein C with cardiac troponins for the early diagnosis of acute myocardial infarction. (2017). Circulation, 136(16), 1495-1508.

6.Development of a quantitative lateral flow test using Estapor® Europium microspheres.

声明:
1、凡本网注明“来源:小桔灯网”的所有作品,均为本网合法拥有版权或有权使用的作品,转载需联系授权。
2、凡本网注明“来源:XXX(非小桔灯网)”的作品,均转载自其它媒体,转载目的在于传递更多信息,并不代表本网赞同其观点和对其真实性负责。其版权归原作者所有,如有侵权请联系删除。
3、所有再转载者需自行获得原作者授权并注明来源。

最新评论

关闭

官方推荐 上一条 /3 下一条

客服中心 搜索 洽谈合作
返回顶部