立即注册找回密码

QQ登录

只需一步,快速开始

微信登录

微信扫一扫,快速登录

搜索
小桔灯网 门户 资讯中心 医界动态 查看内容

迪安诊断助力宁波市第一医院血液科,强调mNGS技术对于不明原因感染的临床诊疗价值

2024-8-16 16:40| 编辑: 鹏哥| 查看: 1827| 评论: 0|来源: 迪安诊断

摘要: 本案例通过应用mNGS技术,凸显了在面对免疫功能低下患者中出现的不明原因腹水累积时,考虑罕见生物体感染的必要性。


近日,迪安诊断与宁波市第一医院血液科团队合作,在Oxford旗下期刊《Open Forum Infectious Diseases》(IF=3.8),报道了一例非既往报道临床表现的Anncaliia algerae感染病例。


该案例通过利用宏基因二代测序技术(mNGS)辅助临床鉴定与识别不明原因累积腹水中Anncaliia algerae病原,为临床诊疗提供依据,强力揭示了mNGS在疑难或不明原因感染病例的早期诊断和个体化治疗中,具有潜在的应用价值

论文发布截图,点击文末“阅读原文”查阅全文


研究背景

Anncaliia algerae (A. algerae)是专性细胞内寄生的微孢子虫。作为一种机会性病原体,它可以感染多种宿主,尤其困扰着患有类风湿性关节炎、器官移植和血液系统恶性肿瘤等免疫功能低下人群。


肌炎是A. algeare感染最常见的疾病表现。此外,人类微孢子虫可以侵染包括肠道、肝、肺、脑等器官,皮肤、眼睛、声带等部位也曾发生A. algerae感染。A. algerae感染具有较高死亡风险,因此,精确诊断和及时治疗十分关键。


研究内容

63岁患者的罕见不明原因感染

患者临床病程及治疗方案

一名63岁患者入院前由于疾病史长期服用免疫抑制剂。入院时,患者主诉食欲不振、恶心、呕吐、腹胀等症状已持续近一周。


经体格检查显示:双下肢水肿、肠鸣微弱、腹部压胀。检查过程中,患者四肢未见肌肉压痛,肌酸激酶水平未有明显异常,排除肌炎可能;双肺呼吸音清晰且无干湿杂音;肝肾功能指标正常,B超也显示肝脏大小形态正常,密度均匀;超声心动图无异常,心脏收缩和舒张功能正常,均与既往报道A. algeare感染的临床表型不符。


患者接受“肠梗阻”的治疗方案,在治疗阶段中腹胀加重,病情进一步恶化。

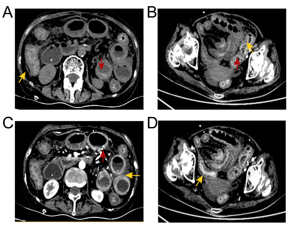
腹部计算机断层扫描的代表性图像。黄色箭头显示肠壁增厚和粘膜水肿;红色箭头显示黏膜充血;肠壁周围模糊的脂肪间隙表明腹腔积液。


腹部计算机断层扫描(CT)显示肝脏、胆囊、肾脏、胰腺、子宫和膀胱未见异样,但肠壁增厚,肠壁周围脂肪空间模糊,粘膜水肿,腹腔中存有大量腹水。于是,在超声引导下对患者行腹腔穿刺和腹水引流。腹水样本的抗酸染色、微生物培养(细菌和真菌)及细胞病理学结果均为阴性。

mNGS检测辅助诊疗终见结果

mNGS鉴定腹水中A.algeare病原体

随后,显微镜下观察到腹水中存在一簇2-3μm的卵球形孢子。mNGS方法进一步阐明腹水中A. algerae感染。同时,大便镜检的微孢子虫阴性结果表明,感染并非肠道来源。


于是,临床医生为患者确定了磺胺甲恶唑/甲氧苄啶(SMZ/TMP;800 mg /160 120 mg 4×/天)联合阿苯达唑(400 mg 2×/天)的治疗方案。


研究总结

本案例通过应用mNGS技术,首次在免疫功能受损患者腹水中成功鉴定了A. algeare这一罕见病原体。这一发现不仅丰富了临床对A. algeare感染相关表型的认识,更凸显了在面对免疫功能低下患者中出现的不明原因腹水累积时,考虑罕见生物体感染的必要性。


在应对临床疑难或病因不明的感染病例时,mNGS技术能够全面检测样本中的所有核酸序列,无论是病毒、细菌、真菌还是寄生虫,都能在复杂的微生物群落中精准定位病原体,为医生制定个性化治疗方案提供了有力的科学依据。

声明:
1、凡本网注明“来源:小桔灯网”的所有作品,均为本网合法拥有版权或有权使用的作品,转载需联系授权。
2、凡本网注明“来源:XXX(非小桔灯网)”的作品,均转载自其它媒体,转载目的在于传递更多信息,并不代表本网赞同其观点和对其真实性负责。其版权归原作者所有,如有侵权请联系删除。
3、所有再转载者需自行获得原作者授权并注明来源。

最新评论

关闭

官方推荐 上一条 /3 下一条

客服中心 搜索 洽谈合作
返回顶部