立即注册找回密码

QQ登录

只需一步,快速开始

微信登录

微信扫一扫,快速登录

搜索
小桔灯网 门户 资讯中心 检验杂谈 查看内容

【小结】红细胞/血小板形态学检查

2018-3-30 10:47| 编辑: 纳兰烙烙| 查看: 9571| 评论: 0|来源: UJS医学检验毕业生

摘要: 说明:一、没有制备/染色良好的血涂片,准确的形态学检验结果根本无从谈起;关于血涂片的制备/染色,请参考以下两文:【节选】国家卫生行业标准-白细胞分类计数参考方法血涂片的制备/染色/观察二、本文采用的并非ICS ...

说明:

一、没有制备/染色良好的血涂片,准确的形态学检验结果根本无从谈起;

关于血涂片的制备/染色,请参考以下两文:

【节选】国家卫生行业标准-白细胞分类计数参考方法

血涂片的制备/染色/观察

二、本文采用的并非ICSH新的命名特征与分级标准;

想看新版本,可点击“阅读原文”,或者戳以下链接:

ICSH外周血细胞形态特征的命名和分级标准化建议(上篇)




【第一部分】红细胞形态学检查

血液系统疾病常累及红细胞,特别是贫血患者,不仅红细胞数量和血红蛋白浓度降低,多数贫血患者还会有相应的红细胞形态改变。因此,红细胞形态检查常作为追踪贫血线索的一项重要内容,与血红蛋白测定、红细胞计数及其他参数相结合,可以判断贫血的性质,并对贫血的诊断和鉴别诊断有重要的临床价值。


一、正常形态红细胞  

1.正常红细胞呈双凹圆盘形,大小相对均一,平均直径7.2μm(6.7~7.7μm)。

2.Wrihgt染色后为粉红色或琥珀色,血红蛋白充盈良好,呈正色素性、向心性淡染。

3.中央部位为生理性淡染区,大小约为细胞直径的1/3。

4.胞质内无异常结构

正常形态红细胞常见于健康人,但也可见于急性失血性贫血、部分再生障碍性贫血等。



二、异常形态红细胞       

在排除人为因素后,若血涂片中出现异常形态红细胞,且数量增多,常提示病理性改变。

常见的异常形态红细胞可分为红细胞大小、形状、血红蛋白含量、结构和排列异常

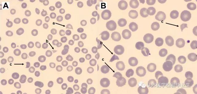
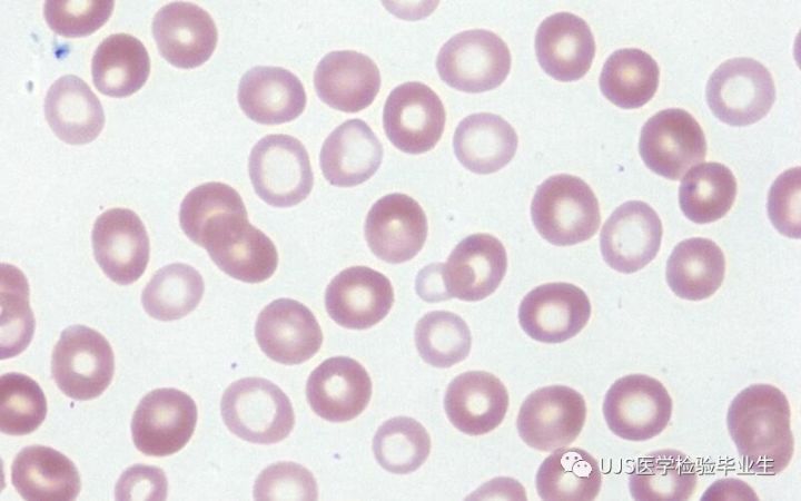
1.红细胞大小异常(表2-13)

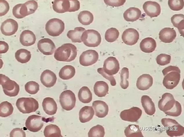
下图中可见小红细胞(同时伴有低色素改变):

下图中可见巨红细胞/大红细胞:

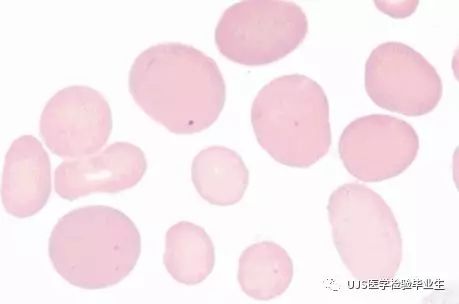
下图为红细胞大小不均(还有一个嗜多色性红细胞):


2.红细胞形态异常(表2-14,2-14-1)

续表

下图中可见球形红细胞:

下图中可见椭圆形红细胞:

下图中可见靶形红细胞:

下图中可见棘形红细胞:

【笔者注】关于棘红细胞,笔者查阅过资料,请看以下两文:

棘红细胞:教材没有提到的那些 ; 棘红细胞的更多资料及检查注意事项

下图中可见口形红细胞(图片的下半部分,来自 @协和检验_张时民 新浪微博):

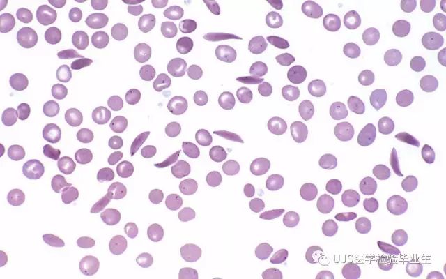
下图中可见镰形红细胞

【笔者注】值得一提的是,镰状细胞贫血是人类发现的首个分子病,主要见于非洲恶性疟疾流行区的黑人。患有这种疾病的人,对疟疾的抵抗力明显强于常人,因为单核-巨噬细胞系统会将镰形红细胞连同疟原虫一并清除,疟疾常不治自愈。故在恶性疟疾流行区,患有该病的人有生存优势。

下图中可见锯齿状红细胞:

下图中可见泪滴形红细胞:

新月形红细胞/角形红细胞:笔者未能找到图片

下图中可见裂片红细胞:

红细胞形态不整:


3.红细胞血红蛋白含量异常

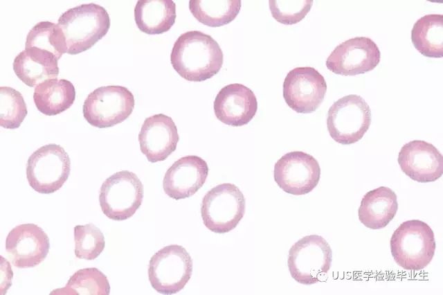
下图中可见低色素性红细胞:

下图中可见高色素性红细胞:

下图中可见嗜多色性红细胞(相当于活体染色的网织红细胞):

红细胞着色不一(双相性):

来自 @协和检验_张时民 新浪微博,同时可见正常色素性和低色素性红细胞


4.红细胞异常结构/异常排列

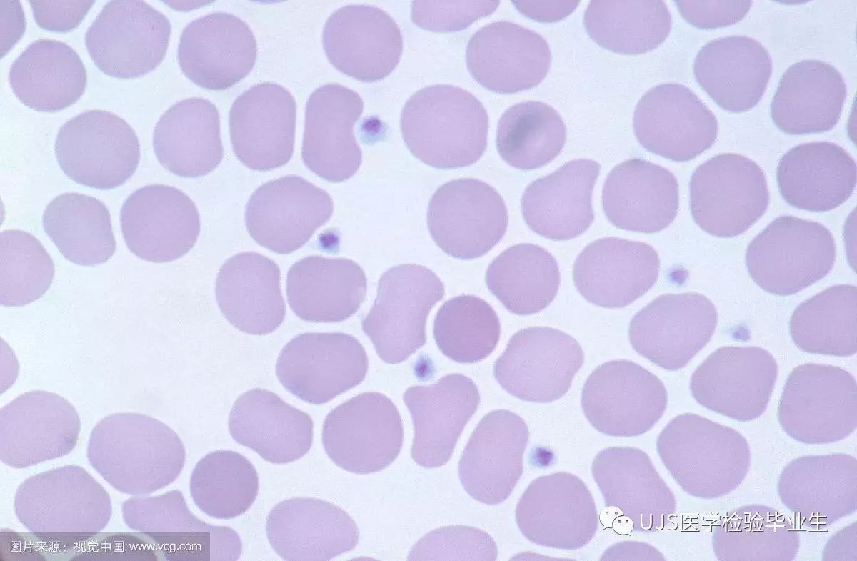
下图中可见豪焦小体(H-J小体):

下图中可见卡波环:

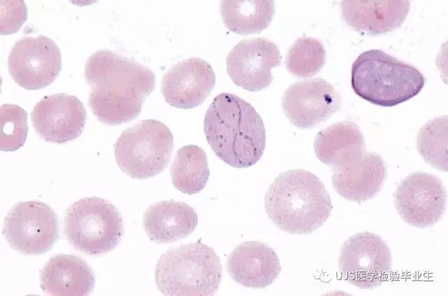
下图中可见两个嗜碱性点彩红细胞,一个无核,一个有核(换个角度来说,下图中可见两个有核红细胞):

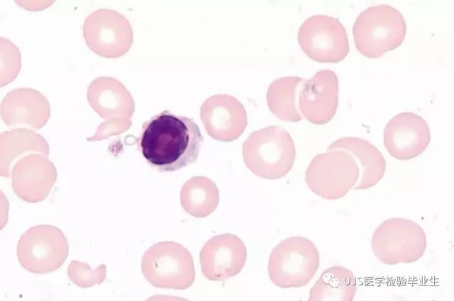
下图中可见一个有核红细胞(幼稚红细胞):

下图中可见红细胞缗钱状形成:

下图中可见红细胞凝集(聚集成团):


5.红细胞异常形态分类新方法见表2-17。



【第二部分】血小板形态学检查

一、正常血小板形态

正常血小板呈两面微凸的圆盘状,直径约1.5~3μm,新生血小板体积大,成熟者体积小。

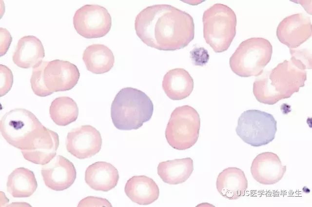
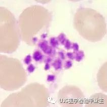
在血涂片上,血小板往往散在(如上图)或成簇分布(如下图):

其形状多为圆形、椭圆形或略欠规则形;胞质呈淡蓝或淡红色,有细小、分布均匀而相聚或分散于胞质中的紫红色颗粒。



二、异常血小板形态

 1.大小异常

血小板可出现明显的大小不均变化。

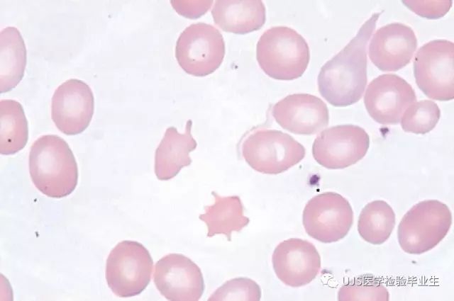
(1)大血小板:直径为4~7μm,巨型血小板直径大于7μm,常为7~20μm,也可大于20μm,胞质中嗜天青颗粒细小或融合为大颗粒(如下图)。

主要见于ITP、粒细胞白血病、血小板无力症、巨大血小板综合征、MDS和脾切除后等。

以下四图为巨型血小板,为笔者工作中所见:

(2)小血小板:直径小于1.5μm,主要见于缺铁性贫血、再生障碍性贫血、ITP等。


2.形态异常

血小板可以出现杆状、逗点状、蝌蚪状、蛇形(如下图)和丝状突起等异常形态,健康人偶见(少于2%)。

影响血小板形状改变的因素很多,各种形态异常又无特异性。因此,不规则和畸形的血小板比值超过10%时才有临床意义。


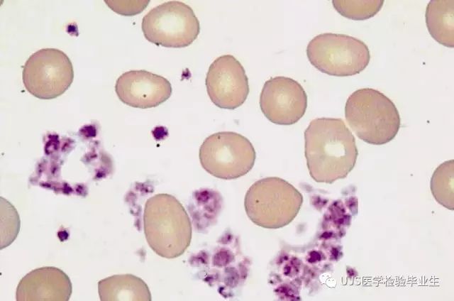
3.聚集性和分布异常    

血小板聚集、分布状态可间接反映其功能。聚集功能正常的血小板在非抗凝血的外周血涂片中常可见3~5个聚集成簇或成团,聚集与散在血小板之比为20∶1。

在EDTA抗凝血的血涂片中,可见血小板不聚集而呈散在分布状态,或出现诱发的血小板聚集现象。

以下四图为EDTA依赖性血小板聚集,为笔者工作中所见:

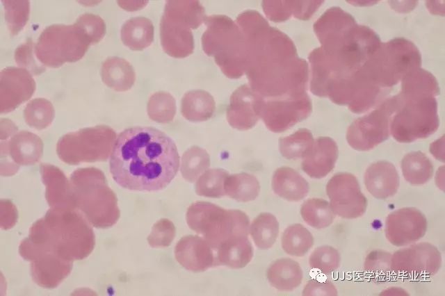
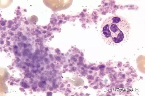
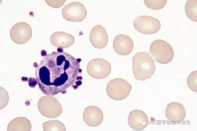
(1)血小板卫星现象:血小板黏附、围绕于中性粒细胞周围(或偶尔黏附于单核细胞)的现象,有时可见血小板吞噬现象。此时,血小板和中性粒细胞形态和功能均正常。血小板卫星现象偶见于EDTA抗凝血(如下图)。

因EDTA和免疫球蛋白相互作用、非特异性结合血小板之故,被抗体包被的血小板与中性粒细胞结合。血小板卫星现象是血液分析仪血小板计数假性减少的原因之一(仪器只能识别出这是白细胞,无法识别粘附在白细胞边缘的血小板) 。

(2)血小板片状聚集:原发性血小板增多症和血小板增多的慢性粒细胞白血病,血小板可呈大片聚集(如下图):

(3)血小板减少:再生障碍性贫血和ITP因血小板数量少,血小板聚集成团的情况明显减少。

(4)血小板功能异常:血小板无力症时血小板无聚集功能,且散在分布,不出现聚集成团的现象。




参考资料

1、临床检验基础(第5版),刘成玉 罗春丽 主编,北京:人民卫生出版社,2011

2、临床血液学检验(第5版),许文荣 王建中 主编,北京:人民卫生出版社,2011

声明:
1、凡本网注明“来源:小桔灯网”的所有作品,均为本网合法拥有版权或有权使用的作品,转载需联系授权。
2、凡本网注明“来源:XXX(非小桔灯网)”的作品,均转载自其它媒体,转载目的在于传递更多信息,并不代表本网赞同其观点和对其真实性负责。其版权归原作者所有,如有侵权请联系删除。
3、所有再转载者需自行获得原作者授权并注明来源。

最新评论

关闭

官方推荐 上一条 /3 下一条

客服中心 搜索 洽谈合作
返回顶部