立即注册找回密码

QQ登录

只需一步,快速开始

微信登录

微信扫一扫,快速登录

搜索
小桔灯网 门户 资讯中心 检验杂谈 查看内容

【小结】白细胞形态学检查

2018-3-30 00:00| 编辑: 纳兰烙烙| 查看: 11007| 评论: 0|来源: UJS医学检验毕业生

摘要: 说明:一、没有制备/染色良好的血涂片,准确的形态学检验结果根本无从谈起;关于血涂片的制备/染色,请参考以下两文:【节选】国家卫生行业标准-白细胞分类计数参考方法血涂片的制备/染色/观察二、本文采用的并非ICS ...

说明:

一、没有制备/染色良好的血涂片,准确的形态学检验结果根本无从谈起;

关于血涂片的制备/染色,请参考以下两文:

【节选】国家卫生行业标准-白细胞分类计数参考方法

血涂片的制备/染色/观察

二、本文采用的并非ICSH新的命名特征与分级标准;

想看新版本,可点击“阅读原文”,或者戳以下链接:

ICSH外周血细胞形态特征的命名和分级标准化建议(上篇)



白细胞形态学检查主要采用显微镜法;现代自动图像分析仪和血液分析仪还未能取代显微镜;血液分析仪对异常结果作出报警后,仍需要采用显微镜法检查血涂片进行复查,以提供更加确切的细胞形态学检查结果。


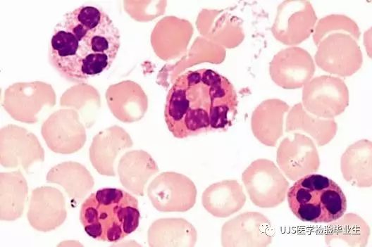
一、正常形态白细胞

1.外周血液正常形态白细胞特征

正常形态白细胞特征如下表:

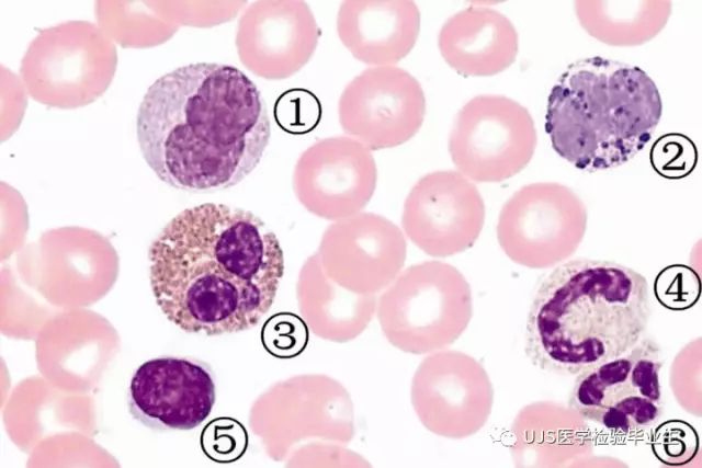
下图中的白细胞分别为

①:单核细胞

②:嗜碱性粒细胞

③:嗜酸性(分叶核)粒细胞

④:(嗜)中性杆状核粒细胞

⑤:(小)淋巴细胞

⑥:(嗜)中性分叶粒细胞、

【笔者注】查看更多外周血正常白细胞的图片,可访问下列两文:

人体外周血正常细胞形态 ; 常见外周血白细胞形态学


2.中性粒细胞核形界定    

凡胞核完全分离或核间以一丝(只有核膜而无染色质)相连者为分叶核粒细胞(如下图);

细胞核径最窄处小于最宽处1/3者为分叶核粒细胞,大于1/3者为杆状核粒细胞;若两丝相连者则为杆状核粒细胞(如下图)。

当中性粒细胞杆状核与分叶核难以鉴别时,可将其归类于分叶核。


3.粒细胞胞质内颗粒  

中性粒细胞胞质内的颗粒分为嗜天青颗粒(占20%)和特殊颗粒(占80%),其比较见表2-60。



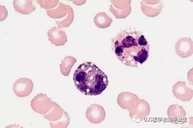
二、中性粒细胞异常形态

 1.毒性变化   

在严重的化脓性感染、败血症、恶性肿瘤、急性中毒、大面积烧伤等病理情况下,中性粒细胞可发生多种形态改变。

下图中可见中性粒细胞大小不均:

下图中可见中毒颗粒:

下图中可见空泡形成:

下图中可见杜勒小体:

下图为退行性变等

这些形态变化对观察病情变化和判断预后有一定意义。


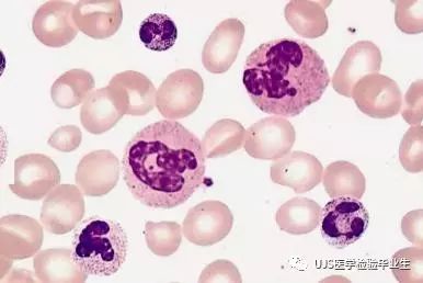
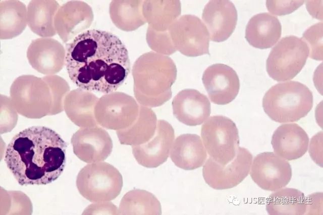
2.中性粒细胞的核象变化   

核象标志着中性粒细胞从新生细胞至衰老细胞的发育阶段。正常情况下,外周血液中性粒细胞以分叶核为主,胞核常分为2~5叶,杆状核较少。病理情况下,中性粒细胞的核象可发生核左移或核右移。

(1)核左移

外周血液的中性杆状核粒细胞增多或(和)出现晚幼粒细胞、中幼粒细胞,甚至原始/早幼粒细胞的现象,称为核左移。

下图中,杆状核粒细胞增多(正常情况下,中性杆状核粒细胞与中性分叶核粒细胞之比约为1:13):

下图中出现了中性中幼/晚幼粒细胞:

下图中出现了早幼粒细胞(最左):

核左移常见于一些良性疾病,如化脓性感染、急性溶血以及应用细胞因子等,常伴有中毒颗粒、空泡形成、退行性变等毒性变化。核左移多伴有白细胞总数增高,但也可正常甚至减少。

①再生性核左移:核左移伴白细胞总数增高称为再生性核左移,提示骨髓造血功能和释放能力旺盛,机体抵抗力强等。

②退行性核左移:核左移伴白细胞总数正常或减少称为退行性核左移,提示骨髓释放功能受到抑制,机体抵抗力差。

核左移分为轻、中、重度三级,与感染的严重程度和机体的抵抗力密切相关(表2-61)。

然而核左移也可见于一些恶性疾病,如急性/慢性粒细胞白血病。

下图为慢性粒细胞白血病,可见一个早幼粒细胞和三个中幼粒细胞:

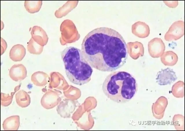
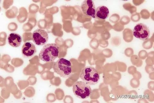
(2)核右移

外周血液的中性分叶核粒细胞增多,并且5叶核以上的中性粒细胞>3%时称为核右移(如下图,正中细胞胞核分为六叶)。

严重核右移常伴有白细胞总数减少,提示骨髓造血功能衰退,与缺乏造血物质、DNA合成障碍和骨髓造血功能减退有关。

核右移常见于巨幼细胞性贫血、内因子缺乏所致的恶性贫血(其实是巨幼细胞性贫血的一种特殊情况)、感染、尿毒症、MDS等,应用抗代谢药物治疗肿瘤时也会出现核右移(会影响叶酸的利用,类似于巨幼细胞性贫血)。


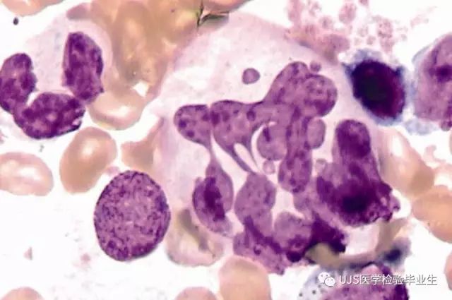
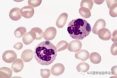
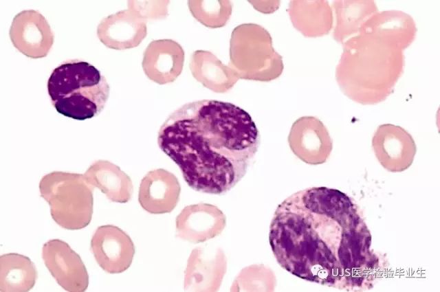
3.中性粒细胞胞核异常形态    

下图中可见巨多分叶核中性粒细胞:

下图中可见巨杆状核中性粒细胞(其下方还有一个巨晚幼粒细胞):

下图中可见多分叶核中性粒细胞:

下图中可见双核粒细胞:

下图中可见环形杆状核粒细胞:


4.与遗传因素相关的中性粒细胞畸形    

下图为Chediak-Higashi畸形:

下图为Alder-Reilly畸形:

下图为May-Hegglin畸形:

下图为Pelger-Hüet畸形:


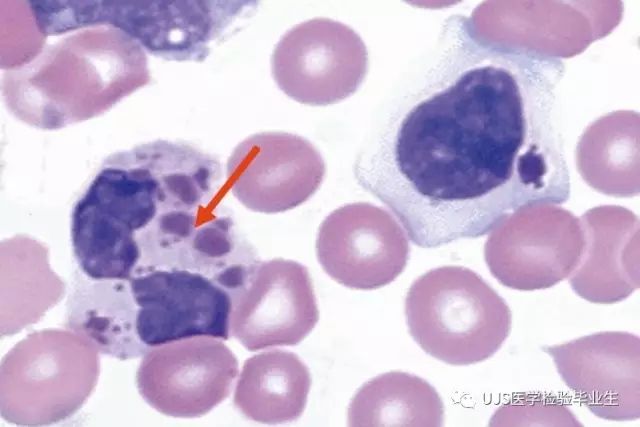
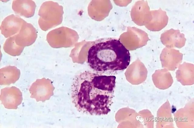
5.棒状小体  

白细胞胞质中出现的紫红色细杆状物质,1个或数个,长约1~6μm,称为棒状小体(如下图):

出现数个棒状小体,呈束状排列(柴束状)的白细胞称为柴捆细胞(faggot细胞),如下图:

下图中也是柴捆细胞,来自@王霄霞_血液学检验教师 新浪微博:

棒状小体的出现情况:急性粒细胞白血病(多见)、急性单核细胞白血病(少见)、急性淋巴细胞白血病则无。


6.中性粒细胞异常形态新的分类(表2-64)



三、淋巴细胞异常形态

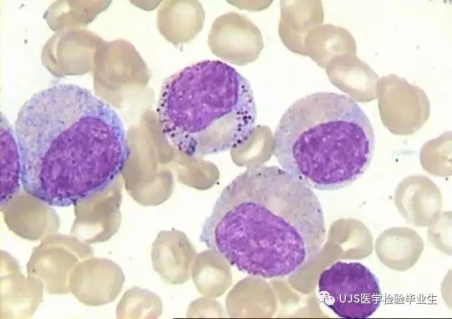
1.异型淋巴细胞    

在病毒(如腺病毒、人类疱疹病毒等)、原虫(如弓形虫)感染,药物反应、结缔组织疾病、应激状态或过敏原等因素刺激下,淋巴细胞增生并发生形态上的变化,表现为胞体增大、胞质增多、嗜碱性增强、细胞核母细胞化,称为异型淋巴细胞或反应性淋巴细胞。异型淋巴细胞的形态特点见表2-65。

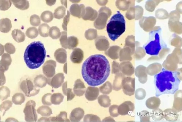
下图为Ⅰ型异型淋巴细胞(左上角),又称泡沫型或浆细胞型:

下图为Ⅱ型异型淋巴细胞,又称单核细胞型:

下图为Ⅲ型异型淋巴细胞(右侧),又称未成熟细胞型或幼淋巴细胞型:

下图中从左到右,依次为异型淋巴细胞Ⅰ型,Ⅲ型,Ⅱ型


2.卫星核淋巴细胞  

淋巴细胞主核旁有1个游离的卫星小核称为卫星核淋巴细胞。因染色体损伤,丧失着丝点的染色单体或其片段在有丝分裂末期,未进入子代细胞遗传物质体系内而形成。

常见于接受较大剂量电离辐射、核辐射之后,或其他理化因素、抗癌药物等造成的细胞损伤。常作为致畸、致突变的客观指标之一。



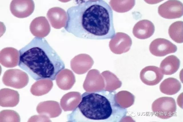
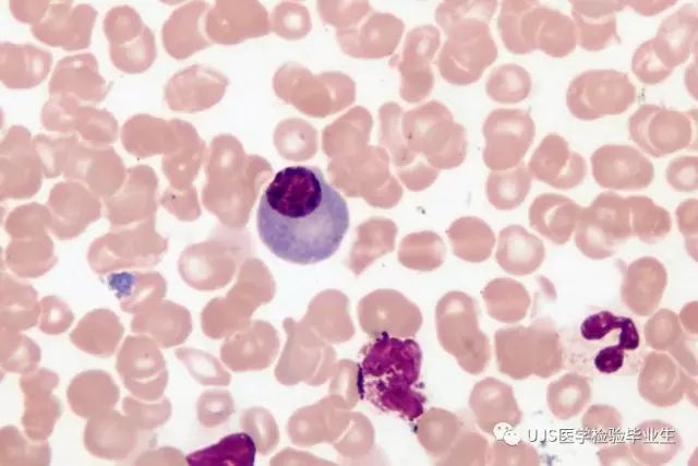
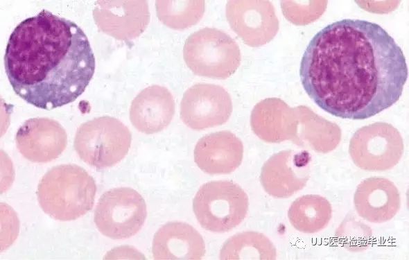
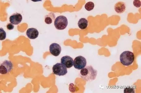
四、浆细胞

浆细胞旧称效应B细胞,由B淋巴细胞分化而来,具有合成免疫球蛋白的功能,参与体液免疫反应。健康人外周血涂片一般不会出现浆细胞,正常浆细胞如下图(中央偏左)。

Mott细胞,即胞质中充满Russel小体的浆细胞,Russel小体是一些球蛋白的聚集物,常呈球形、排列紧密,形如桑椹,故也称之为桑椹细胞(如下图)。

若在血涂片制备过程中将细胞推散,Russel小体散布于胞质中,又称之为葡萄状浆细胞。

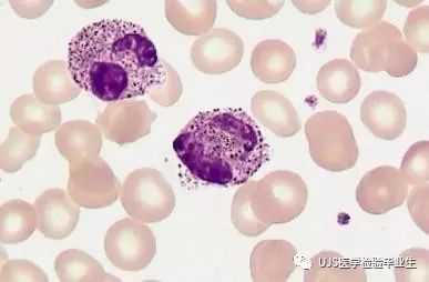
多发性骨髓瘤(MM)患者外周血液中可见少量的异常浆细胞(骨髓瘤细胞),典型的骨髓瘤细胞比浆细胞大,外形不规则,胞核大、染色质细致、核仁明显,胞质多呈蓝色(如下图)。

浆细胞白血病(PCL):外周血中浆细胞≥20%或浆细胞绝对值≥2×10e9/L。此时患者外周血液可出现较多异常浆细胞(如下图)。




参考资料

1、临床检验基础(第5版),刘成玉 罗春丽 主编,北京:人民卫生出版社,2011

2、临床血液学检验(第5版),许文荣 王建中 主编,北京:人民卫生出版社,2011

声明:
1、凡本网注明“来源:小桔灯网”的所有作品,均为本网合法拥有版权或有权使用的作品,转载需联系授权。
2、凡本网注明“来源:XXX(非小桔灯网)”的作品,均转载自其它媒体,转载目的在于传递更多信息,并不代表本网赞同其观点和对其真实性负责。其版权归原作者所有,如有侵权请联系删除。
3、所有再转载者需自行获得原作者授权并注明来源。

最新评论

关闭

官方推荐 上一条 /3 下一条

客服中心 搜索 洽谈合作
返回顶部