立即注册找回密码

QQ登录

只需一步,快速开始

微信登录

微信扫一扫,快速登录

搜索
小桔灯网 门户 资讯中心 液体活检 查看内容

真的准备好了吗:凭一管血检测癌症?

2016-2-24 22:38| 编辑: 小桔灯网| 查看: 2741| 评论: 0|来源: “赛先生”微信号  作者:Nicholas Weiler 翻译:李娟

摘要: 癌症筛查会变得像胆固醇检查一样容易吗?一项目前正在研发的技术或能给我们一个肯定的答案:凭借一管血就会使早期阶段的癌症筛查成为可能。  这就是“液体活检技术”。即从血液(或尿)中捕捉自由游走的癌细胞或癌 ...

癌症筛查会变得像胆固醇检查一样容易吗?一项目前正在研发的技术或能给我们一个肯定的答案:凭借一管血就会使早期阶段的癌症筛查成为可能。

  这就是“液体活检技术”。即从血液(或尿)中捕捉自由游走的癌细胞或癌DNA,以获得关于小肿瘤或潜藏肿瘤的信息,之后再用传统技术进一步检测。这将使医生能够远程监控癌症患者对治疗的反应,及时发现复发的早期征兆,甚至能在原本健康的人那里发现癌变的第一个迹象。

  在过去的一年,诸多企业加快了相关技术的研发速度。Qiagen、罗氏、Illumina等成熟的生物技术公司,以及Guardant Health、Foundation Medicine等初创公司,都在竞相将液体活检技术商业化,并计划在未来几年应用于临床。

  许多研究人员认为这项技术非常令人兴奋,但问题是:液体活检能否成为下一个癌症诊断的颠覆事件,还是只能简单地应用在较狭窄的领域?

  加州大学旧金山分校Helen DillerFamily综合癌症中心执导肿瘤遗传学项目的John Witte博士,目前正致力于改进液体活检技术的敏感性,以帮助追踪有致命威胁的前列腺癌的发生发展。他说,“现在这个领域就像荒蛮的西部一样等待探索和挖掘。液体活检技术可能在多个不同层面变革癌症筛查和监测。但我们不确定该技术的有效应用程度如何。尽管如此,其潜在价值仍是巨大的,非常值得风险投资。”


John Witte的实验室里用于处理病人血样的Qiagen真空管。Elisabeth Fall供图。

液体活检是怎么进行的?

  目前,医生通过手术或穿刺针取出肿瘤样本,然后在显微镜下检查并进行遗传学分析,从而做出诊断指导治疗。这种方法是昂贵的,侵入性的,通常只适用于肿瘤足够大或已威胁到生命的情况。更糟的是,癌症扩散时常常发生突变,意味着原位肿瘤组织活检可能无法帮助治疗侵入性转移的瘤体。


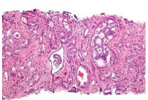
穿刺活检的前列腺肿瘤组织,可经显微成像鉴别出其最常见的癌症类型。而新的液体活检技术的使用,或可以通过非侵入、无创伤的方式诊断和监测癌症。Nephron供图,Wikimedia.

  斯坦福大学血液学家和肿瘤学家Ash Alizadeh,是过去十年液体活检技术发展的领导者,作为Roche诊断的顾问,他说:“医生们还在黑暗中摸索。即使用扫描技术确诊癌症,仍然不能确定患者体内肿瘤的严重性和发展程度。” 这就是为什么研究人员、医生和诊断公司如此急于开发这类新技术的原因,以期达到用非侵入性手段分析肿瘤特征的目的。

目前正在研发的液体活检技术主要针对两个检测对象:

循环肿瘤细胞(Circulating Tumor Cells, CTCs)

  在某些癌症的发生过程中,有少量的癌细胞从原生肿瘤中脱离进入血液,随血液循环四处游走或转移至新病灶,这部分癌细胞即循环肿瘤细胞(CTC),可从血液中分离得到,用癌细胞表面的常见分子标志物识别。这些癌细胞的DNA能够被用来了解导至患者癌变的突变基因。而且,这类癌细胞本身可经实验室培养,用于个体化抗癌药物的体外筛选。有几家公司已经开始提供这样的测试,目前数以百计的临床试验正在进行中。

  几十年来,研究人员一直致力于CTC的液体活检技术的开发,然而,临床应用中的多次尝试却常常令人失望。部分原因是,并不是所有癌症类型都产生可识别的CTC。即使科学家知道CTC应该是什么样子,在数百万血细胞中捕捉这部分十分稀少的癌细胞仍然面临很大挑战。而在疾病的早期阶段,此技术的应用更为艰难。

血浆游离肿瘤DNA('Cell-Free' Circulating Tumor DNA,ctDNA)

  最近,研究人员已经在一项叫做血浆游离肿瘤DNA的检测技术上取得了进展。通过将血源性的DNA片段的序列与已知的肿瘤突变基因序列进行比对,来获取更多肿瘤特征的信息。从理论上来说,该技术可以更为快速地操作,相对更加可靠,比CTC的液体活检的灵敏度更高,也因而促进了像Illumina这样的公司极力吹捧液体活检技术的力度。

  加州大学旧金山分校的癌症遗传学家Pamela Paris,在研究中使用了CTC液体活检技术,明确了前列腺癌和膀胱癌中的特异基因突变,故而有助于筛选使用更有效的治疗药物。她说,“该技术突然变得这么热,是因为新的测序技术的发展第一次使其成为可能。”

  不过, Pamela Paris提醒说,该技术的应用仍然有些麻烦待解决。比如,片段化的ctDNA自身含有的信息相比完全完整的肿瘤细胞要少。并且,由于ctDNA被认为是由死细胞或濒死细胞释放出来的,这可能导至临床结果出现偏差,因为它只优先提供那些最弱的、最易被杀死的癌细胞的信息,而那些最有问题的、对治疗产生抗性的癌细胞却仍未被检测到。

液体活检需要更高级的深度测序技术

  液体活检技术的未来,取决于研究人员和大型生物技术公司能在多大程度上支撑该技术的规模,证明它具有成本效益同时也是可靠的。比如说,大多数ctDNA技术还是会漏掉血液中大量的DNA分子片段,其中就有潜伏的癌症DNA,因而没办法足够自信的说它很可靠。

  John Witte说,“最大的挑战就是得到各类数字。用ctDNA精确检测肿瘤突变,需要的基因测序技术必须比目前用于肿瘤体的更加彻底和深入。”

  然而,John Witte说,即使使用液体活检技术在健康人中进行早期诊断比预期更困难,该技术仍将可能实现其有价值的,更小众的用途,即帮助研究人员将癌症基因组学与癌症治疗方案联系起来,为临床医生跟踪某些后期癌症的进展提供帮助。最有希望从中受益的疾病包括胰腺癌、卵巢癌、结直肠癌、黑色素瘤、乳腺癌和肺癌。

  “重要的是要保持良好的怀疑态度,”John Witte说,“但可以说大多数研究者的态度是相当乐观的。”

 

声明:
1、凡本网注明“来源:小桔灯网”的所有作品,均为本网合法拥有版权或有权使用的作品,转载需联系授权。
2、凡本网注明“来源:XXX(非小桔灯网)”的作品,均转载自其它媒体,转载目的在于传递更多信息,并不代表本网赞同其观点和对其真实性负责。其版权归原作者所有,如有侵权请联系删除。
3、所有再转载者需自行获得原作者授权并注明来源。

最新评论

关闭

官方推荐 上一条 /3 下一条

客服中心 搜索 洽谈合作
返回顶部