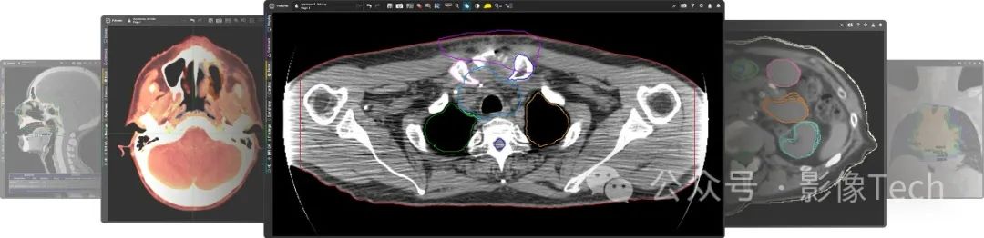
2024年1月8日,GE医疗(纳斯达克股票代码:GEHC)宣布收购医学影像软件公司MIM Software的事宜已进入协议阶段。 这次交易的财务细节尚未公开披露,不过GE医疗表示之所以收购该公司,是为了贯彻公司“精准护理”的战略,希望利用该公司的产品在各个护理领域的成像分析和数字工作流程功能,使得GE医疗提供的解决方案卓尔不凡。MIM Software是一家成立于2003年的美国医学影像软件公司,总部位于俄亥俄州克利夫兰,在中国和比利时设有办事处。公司旨在为放射肿瘤学、核医学、放射学、介入放射学、分子、神经和心脏的成像提供创新的软件解决方案。公司到目前为止推出了MIM Maestro®、Contour ProtégéAI+™、MIM Encore®等软件。 该公司的创新成像解决方案组合提供了多项功能,其中包括:- 提供多步骤自动化,有助于减少重复性任务和人力投入;
- 在诊断成像和核医学领域应用定量和高级处理,以确认治疗效果;
- 提供一个支持治疗诊断成像和放射剂量测定的平台,协助医生更好地制定治疗方案。
GE医疗计划将MIM Software的解决方案整合到其先进的可视化产品中,以支持以AI技术为基础的影像分割、轮廓绘制、放射剂量测定分析等服务。这一整合旨在帮助医疗机构更好地为患者提供医学影像,同时在放射学、分子成像和放射肿瘤学等领域推动创新。现在新型疗法变得越来越广泛可用,医疗服务提供方也更加需要先进的成像、工作流和数字解决方案来提供关键信息,以便帮助医生更快地制定更有效的治疗计划。这次GE医疗和MIM Software签下工作协议,就彰显了其迈向未来的决心。未来,晚期前列腺癌的治疗和诊断、放射肿瘤学工作流程的简化、阿尔茨海默氏症的β-淀粉样蛋白成像以及冠状动脉疾病中心肌灌注的应用等等会是GE医疗实践精准护理的重点。GE医疗总裁兼首席执行官Peter
Arduini表示:“我们希望能将这两个互补的组织和创新产品组合结合在一起以加强我们作为集成成像系统、分析和先进数字工作流程的领先供应商的能力。”MIM Software的首席执行官Andrew
Nelson表示:“过去二十年来,我们一直致力于开发独立于供应商的创新产品并提供优质服务。加入GE医疗后,我们期待能开发出更新更集成的数字解决方案。”2023年1月4日,GE医疗宣布,此前公告的从GE集团(纳斯达克股票代码:GE)的拆分计划已完成,GE医疗将作为一家独立的公司开始在纳斯达克股票交易所上市,股票代码为“GEHC”,开市生效。GE医疗成为美国威斯康星州首家远程敲响纳斯达克上市之钟的公司。GE医疗在全球160多个国家拥有约51000名员工,每年服务超过10亿患者。GE医疗业务涵盖四大业务板块 —— 医学影像、超声、PCS患者护理解决方案和药物诊断。2023年10月31日,GE医疗公布了截至2023年9月30日的第三季度财务业绩:报告营收达到48亿美元,同比增长5%,有机收入同比增长6%;净利润为3.75亿美元,去年同期为4.87亿美元。
|