立即注册找回密码

QQ登录

只需一步,快速开始

微信登录

微信扫一扫,快速登录

搜索
小桔灯网 门户 资讯中心 人工智能 查看内容

人工智能辅助病理诊断

2018-8-17 01:43| 编辑: 小桔灯网| 查看: 3913| 评论: 0|来源: 美柏医健

摘要: 人工智能和机器学习软件作为病理学领域的一种新工具,因其有效率和准确性的不断提高,越来越引起人们的重视。通过此类软件进行病理信息的采集、管理和分析,可帮助病理医生减少很多重复机械性的工作负担,而且在病理 ...

人工智能和机器学习软件作为病理学领域的一种新工具,因其有效率和准确性的不断提高,越来越引起人们的重视。通过此类软件进行病理信息的采集、管理和分析,可帮助病理医生减少很多重复机械性的工作负担,而且在病理学的临床教学中能给学生提供很好的支持。


人工智能在病理学领域的应用市场正在不断扩大,根据Allied Market Research公司的市场调研,预计到2026年这一技术的市场总额将达到860万美元。


将病理切片数字化的好处是方便文件存贮,并且可以提供快速检索功能,方便病理医生和其他医务工作人员获取数据。而当存档的数字化切片越来越多,形成真正的大数据后,人工智能和机器学习就可以显神通了,这些切片的图像数据集与计算机强大的运算能力和学习能力相结合后,产生了大量用于数字切片的辅助诊断软件,计算机通过运用大量定量的分析算法,包括传统机器学习算法和深度学习算法,就可以自动检测数字切片中的病变区域并定量评估各项指标,帮助病理医生做出快速、准确、重复性高的病理诊断,从而成为病理医生日常诊断工作中不可缺少的工具。


文/田雨

编/HLR



1


人工智能辅助病理诊断简介


病理学中的大多数人工智能和机器学习软件都致力于创建高分辨率数字化组织样本的数据库,从而使病理学家能够将他们的许多常规过程数字化。该空间中所有软件的共同之处在于能够将活检组织样本扫描到系统中,并且这些图像可以用于测量和对诊断进行注释。大多数软件使用深度学习功能,这意味着软件识别收集的图像之间的关联,并用于创建不断变化的诊断算法(algorithms for diagnosis)。例如,病理学家可以在载玻片中扫描并通过成像软件识别该数字化组织样本内的特定癌细胞[1],并通过选择癌性区域在图像内注释这一点。该软件将使用此诊断并搜索看起来相似的其他注释图像,创建将来像图像配对的数据标准,并将它们与特定癌症状态(即良性,恶性)相关联。

 


2


人工智能辅助诊断的应用

 

生物技术公司Inspirata的创始人,首席科学家兼执行副总裁Mark Lloyd说:“数字病理学使我们能够收集关于病理图像的精确数字,这使得我们的科学家能够深入研究数字,深入研究形态学或分子变化的价值,然后将这些信息与患者数据相关联,从而使病理学家不仅可以服务于精准医疗,还能驱动精准医疗的发展。”


这些辅助诊断软件多数由生物科技公司与知名大学的研究所或者大型医院研究实验室合作开发,针对不同的疾病领域,尤其是以肿瘤领域的应用最多。这些软件通常的应用范围包括:初步临床病理诊断、手术中病理学诊断、免疫组织化学的手动和半定量分析、大样本的临床研究、低年资医学生的培训,以及联合其他AI软件提供多功能的软件解决方案,例如诊断咨询和临床决策支持等[2]。


接下来我们就其中有代表性的几家公司的产品进行一些浅析。


(一)philips



2017年美国FDA批准了第一个用于帮助解读数字病理图像的全视野图像系统( whole slide imaging,WIS),就是拥有百余年历史的飞利浦公司的Intellisite病理解决方案软件(Philips IntelliSite Pathology Solution,PIPS)。这是“一个自动数字病理图像创建,查看和管理系统,包括一个超快病理切片扫描仪,一个图像管理系统和一个显示器。”在此系统上执行上述各种功能的工具,包括扫描,存储,演示,审查和数据共享。FDA的设备和放射健康中心的体外诊断和放射健康办公室主任Alberto Gutierrez在声明中表示:“该系统使病理学家能够通过数字化的方式来读取组织切片,以便进行诊断,而不是直接观察在传统光学显微镜下安装在玻璃幻灯片上的组织样本。此外,由于系统将切片数字化,而不是将样本存储在物理文件中,它还提供了一个精简的切片存储和检索系统,为病理医生和医务工作人员获取数据提供了很大的便利。”



该系统之所以能从FDA获得批准,是基于约2000例手术病理切片的临床研究,包括了来自身体多个解剖部位的活检组织病理数据。研究结果发现,基于PIPS图像做出的病理诊断与使用显微镜直接观察载玻片作出的病理诊断准确性相当。


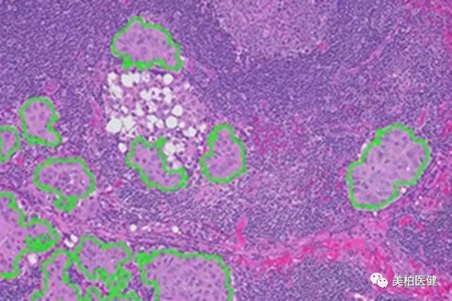
TissueMark是该系统的一个计算病理学工具,在研究应用中快速分析实体肿瘤组织样品,对感兴趣的区域通过TissueMark的成像算法自动注释肺癌和乳腺癌肿瘤边界。并应用该知识估计肿瘤百分比。该应用可以提供三个层次的可视化:大范围的切片边界可视化,基于肿瘤密度的可视化热图以及更高放大倍数下的细胞可视化。

 

▲ TissueMark软件的图像,识别数字化图像的区域(来源:飞利浦网站)


(二)Inspirata



Inspirata成立于2014年 ,总部位于美国佛罗里达州,是一家未上市的股份有限公司,主要提供数字化病理解决方案以及自动化病理工作流程服务[3],产品包括用于优化肿瘤检测、诊断和治疗方案的软件PathologyNEXT,以及一个多屏幕配置,支持查看、存储和管理图像信息的数字病理学软件Digital Pathology Cockpit。此外还有辅助诊断工具和决策支持工具mitoSēK™和histoSēK™ 。


mitoSēK™其实是个一步式的放大工具,可以识别“所有存在高有丝分裂可能性的图像”,即分裂细胞,这些细胞很可能是恶性生长的细胞。它旨在作为一种工具,通过即时突出显示潜在有问题的扫描区域,使病理学家可以有针对性的阅片并且不必手动执行此操作,无需逐步放大,从而节省时间。


▲ 图片来源:Inspirata


histoSēK™则可以自动识别和量化目标组织学区域,即可能含有有害生长的扫描载玻片区域,并且拥有显微切割,坏死区域量化或肿瘤负荷测量功能。

 

 

今年3月,Ispirata与其合作伙伴凯斯西储大学( Case Western Reserve University ,CWRU) 一起获得美国National Institute of Health/National Cancer Institute (NIH/NCI)的一项3.15亿美元的基金,用于开发和验证基于数字化的H&E染色病理图像的头颈癌侵袭性风险的预测指标。


(三) Definiens



Definiens成立于1994年,总部位于德国慕尼黑,是一家私有的生物技术公司,该公司在生命科学技术领域是世界领先技术服务供应商,主要为诊断标记和医疗保健行业用户提供量化数字病例图形分析和数据挖掘技术解决方案,Defniens技术提供了从整个组织切片、细胞检测和扫描及其他数据来源中提取的相互关联的信息,通过自动化分析工作流程为制药和生物技术公司、科研机构、医疗服务机构和病理学家提供新的信息,从而更好地支持制定诊断和治疗的决策研究。不过近年Definiens将自己定位为“组织表型组学公司”。它将“直接攻击癌症”的传统治疗策略与基于现象学的治疗方法进行比较,后者是衡量身体状况的变化和生化特征,因为它们可以对基因突变和环境影响做出反应。


Definiens的核心技术是 Cognition Network Technology,这是由扫描隧道显微镜和原子力显微镜的发明者之一,1986年诺贝尔物理学奖获得者Gerd Binnig和他的开发团队开发的,这种革命性的技术模仿人类从图片提取信息的认知过程。 它建立一个图像,反复识别对象的像素群。正如人类的思维一样,它利用对象的颜色、形状、纹理、大小以及它们的自相似性,与整个场景里其他物体的相互关系来得出结论和推断, 像人类一样准确分辨图形。




Definiens给自己定位的使命是帮助科学家利用组织表型来更好地了解免疫系统,寻找利用身体免疫系统治疗疾病的方法,并将这些数据用于为癌症患者创建个性化护理。 


他们这样做的一种方式是收集“多组学数据” (multi-omics data),其中包括来自基因组(基因),蛋白质组(蛋白质),转录组(RNA;核酸),表观基因组(影响基因的化学物质)和微生物组(微生物)。基本上,希望实现在活检片中进行更多的数据测量。



此外,与前面讨论的全视野成像,分析和诊断软件一样,Definiens软件也设计整合到当前的病理学工作流程中,并充当“科学驱动的合作伙伴”。它的突出功能包括:

  •  量化组织样品数据以鉴别生物标志物和癌症标记物

  • 将多组学数据与临床结果相结合,寻找治疗模式



(四)IDx LLC


IDx是一家成立于2010年的私有公司,主要提供人工智能诊断服务,IDx-DR是IDx LLC最近推向市场的一个基于人工智能的自主诊断系统,也是该领域第一个获得FDA批准商业化的诊断系统。该诊断系统适用于那些有患糖尿病视网膜病变风险的人,这种视网膜病变是可能导至失明的糖尿病并发症。IDx公司声称该设备“可以即时检测到疾病”,并可以在医生办公室轻松实施。



深度学习软件通过一系列过滤器处理每个上传的图像,搜索出现并发症的病变;寻找与糖尿病视网膜病变相关的特定生物标志物。


公司网站提供了大量有关研究和临床试验的数据。在2017年美国900名受试者的临床试验中,IDx “在检测超过轻度糖尿病视网膜病变时表现出87%的敏感性和90%的特异性”。

   

另外,进行测试的操作者都是“新手”,他们之前没有患者的眼睛的摄影经验。



3


结语

 

随着互联网大数据的积累和硬件计算能力提升到临界点, 在医学图像识别类辅助诊断系统领域,国内外有多家公司不断涌现,先进的图像识别能力,结合数学、医学知识和人工智能深度学习算法。这些技术在不久的将来有很大的应用潜力。


病理向来是医疗领域的「金标准」,病理诊断是对疾病下最终判断的环节。可是据统计,全国有执照的病理医生仅九千余人,按照每100张病床配备1名-2名病理科医师计算,缺口高达4万-9万人。随着癌症患者的飞速增长,同时由于对病理医生的技术性要求高、培养周期长等因素,目前我国病理诊断面临着医疗资源分布不均、医生数量严重缺乏、水平参差不齐等难题。智能病理分析技术的出现有效节省了医院病理科的人力、时间成本,提高病理诊断的质量和效率,未来,对整个医疗行业和个人医疗保健市场一定会产生巨大的影响。

   (图片来自网络)


参考文献:

[1] The Role of Artificial Intelligence in Digital Pathology

https://thepathologist.com/issues/1117/the-role-of-artificial-intelligence-in-digital-pathology/

[2] AI in Pathology – Use Cases in Slide Imaging, Tissue Phenomics, and More

https://www.techemergence.com/ai-in-pathology-use-cases-in-slide-imaging-tissue-phenomics-and-more/

[3] Inspirata Acquires Digital Pathology Company Omnyx, Enabling Delivery of an IVD Device for Primary Diagnosis in Europe and Canada.

https://www.cnbc.com/2018/01/31/globe-newswire-inspirata-acquires-digital-pathology-company-omnyx-enabling-delivery-of-an-ivd-device-for-primary-diagnosis-in-europe-and.html



本期作者:田雨
毕业于北京大学口腔医学院,2010年于北京大学获得博士学位。2017年于美国贝勒牙科学院访问学习,从事口腔多基因遗传病研究,对行业分析和相关技术前沿有浓厚兴趣,长期关注基因行业的市场动向。现任美柏医健研究员。

声明:
1、凡本网注明“来源:小桔灯网”的所有作品,均为本网合法拥有版权或有权使用的作品,转载需联系授权。
2、凡本网注明“来源:XXX(非小桔灯网)”的作品,均转载自其它媒体,转载目的在于传递更多信息,并不代表本网赞同其观点和对其真实性负责。其版权归原作者所有,如有侵权请联系删除。
3、所有再转载者需自行获得原作者授权并注明来源。

最新评论

关闭

官方推荐 上一条 /3 下一条

客服中心 搜索 洽谈合作
返回顶部