立即注册找回密码

QQ登录

只需一步,快速开始

微信登录

微信扫一扫,快速登录

搜索
小桔灯网 门户 资讯中心 人工智能 查看内容

利用AI技术进行阿尔兹海默症的筛查和诊断,脑医生看中了这个8000亿美元的市场【AI+大 ...

2017-9-8 02:20| 编辑: 小桔灯网| 查看: 2781| 评论: 0|来源: 动脉网

摘要: 2017中国医疗大数据和人工智能产业实践论坛将于9月16日-17日在武汉会议中心盛大开启,会上同步发布国内首份《2017医疗大数据和人工智能产业报告》,与会者将直面产业大佬,共同探讨产业实践,获取最新产业动向和发展 ...
2017中国医疗大数据和人工智能产业实践论坛将于9月16日-17日在武汉会议中心盛大开启,会上同步发布国内首份《2017医疗大数据和人工智能产业报告》,与会者将直面产业大佬,共同探讨产业实践,获取最新产业动向和发展趋势。本文报道的企业也将受邀参与此次大会,更多精彩期待与你共享,报名参会请点击:报名通道。  


“作为一名外科医生,我父亲以前是多么的意气风发,但是现在连自理能力都没有了。”

 

韩先生谈起自己的父亲的时候,不禁发出了一声叹息。自从老人得了阿尔兹海默症(俗称老年痴呆症)以后,这病就像橡皮擦一样,一点一点地把他的记忆和能力全部擦除。老人以前是老烟枪,但现在即使把烟递给他,他拿着烟也不知道抽,就是痴痴呆呆地看着它冒烟,或是拿着拿着就睡着了。

 

阿尔兹海默症作为一种常见的、原因未明的神经系统退行性疾病,已经严重影响了现代社会中老年人的身心健康。它临床表现为认知和记忆功能不断退化,日常生活能力进行性减退,并伴随各种精神症状和行为障碍。


国际老年痴呆协会发布的数据显示:2013年,全球老年痴呆人数为4400万,其中50%-75%为阿尔茨海默病患者。2015年,全球新增990万名痴呆患者,平均每3秒新增1人。在全球范围内,2015年护理老年痴呆产生的总费用预计为8180亿美元,与2010年相比,增加了2140亿美元。

 

目前,中国阿尔茨海默病患者人数已居世界第一。2014年的调查数据显示,中国有90%的阿尔兹海默症患者未经过诊断治疗。

 

虽然目前没有方法可以在疾病晚期阶段阻止该疾病的恶化,但有证据表明,如果疾病发现的早,阿尔茨海默症是可以通过药物治疗和控制的,能够帮助患者改善认知功能、延缓临床病程10-15年

 

发达国家中每位阿尔兹海默症患者平均每年耗用33000美元。早期的诊断和诊断介入,可使患者显著延后入住看护机构,平均每年可净节省10000美元的费用

 

目前国内各大医院的神经内科、精神科、老年科的记忆障碍门诊均可对阿尔茨海默病进行诊断。其中,常规诊断程序包括病史回顾、体格检查、痴呆筛查测试(量表评估)、脑神经系统检查及实验室检查(如血生化及CT、MRI、PET/SPECT等脑部扫描检查)等。

 

这些方法对疾病的诊断有作用,但是前提是需要有经验的医生,而且这些方法并不适用于大规模的早期筛查。

 

面对这种现状,王思伦博士创办了铱硙医疗科技有限公司(主打产品脑医生智能诊断云平台系统),利用AI技术进行阿尔法兹海默症的早期筛查和诊断,目前已经在多家三甲医院进行临床试用,准确率达到85%,回国几个月就完成了数百万的天使轮融资,有道彤清辉领投,艾瑞资本和上海圣习跟投。脑医生是如何做得到的呢?

 

将医生的经验 “数字化”

 

1503883156(1).jpg

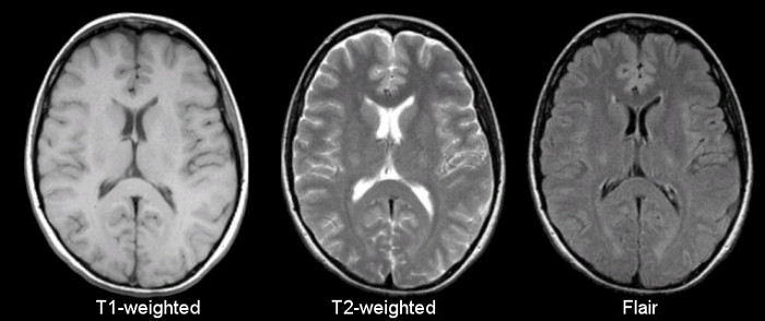
医生诊断用的MRI图像


在现在的医疗机构,医生获取患者的MRI图像后,往往是根据经验判断患者的大脑是否萎缩。因为用经验判断的东西差异化很大,所以漏诊的现象时常出现。

 

脑医生的云平台工作流程是这样的,医生将受试者数据上传,脑医生通过图像处理、大数据运算和统计学分析等方法将医生的经验量化、标准化,最后得到精确的诊断报告

 

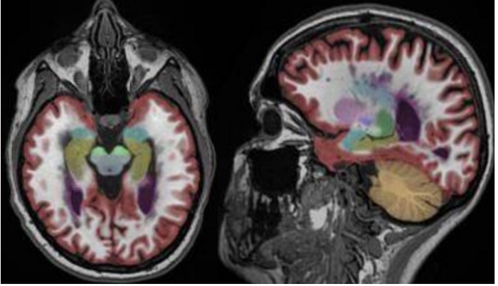
1503883475(1).jpg

脑医生系统标注的图像

 

如上图所示,红色的区域是大脑皮层灰质,这个区域的萎缩是阿尔兹海默症患者重要的早期诊断指标。脑医生系统通过自动标注受试者大脑重要结构的体积与正常指标作对比就可以对受试者情况作出判断

 

王思伦表示,现阶段脑医生最后给出的诊断报告就像我们平时感冒血常规化验单:白细胞总数12.2(正常5-12),中性粒细胞8.6(正常2-7.8),淋巴细胞比例17.9(正常20-40)……诊断报告标包含大脑重要结构的数据,包括脑灰质白质体积,海马结构及全脑45个重要分区的指标,医生一眼就可以看明白,并给出结论。拿到CFDA认证以后,脑医生会推出带有结论的诊断报告,供医生参考

 

使用过的医生反馈,脑医生系统主要有三个优势:


第一,人性化的系统设置,操作简单。这与王博士多年的从医经验有关,他希望医生用产品的时候要舒服,能够最大限度减低医生的工作量。

 

第二,数据清晰、全面。脑医生系统得出的数据对中枢神经系统疾病如阿尔兹海默症帕金森病,癫痫,多发性硬化,脑损伤等都有重要的参考意义,多数据的呈现可以帮助医生做全面的诊断,是放射科和神经内科的诊断更具有针对性和科学性。

 

第三,科研上的帮助。由于计算量和数据的限制,临床医生在开展脑科学研究时常常受限于计算机操作和数据的分析,脑医生提供一站式平台,非常适用于标准数据的采集和案例整理,为临床研究提供帮助。

 

医学AI需要多学科交叉合作


脑医生诞生于2016年9月份。王思伦博士从中山医科大学本科毕业以后,在北京大学附属医院做了三年的放射科医生,后来考取了香港大学放射学系的研究生和博士,然后又去了约翰霍普金斯大学医学院(The Johns Hopkins University)做博士后研究及爱默里大学(Emory University)高级研究员。

 

从硕士开始,王博士就一直从事中枢神经系统影像学、分子影像学及肿瘤影像学的研究,2013年,王博士获得国际核磁共振协会的“青年院士”,2014年获得北美放射学会分子影像学优秀研究奖并荣获约翰霍普金斯大学最佳研究奖。

 

为了此次创业,王博士准备了将近两年的时间。在这两年的时间里,人工智能的深度学习技术得到了快速的发展,这为医学影像的处理奠定了基础,并开辟了未来医学的新方向。另外,在美国工作的10年时间里,他也看到美国为预防、缓解阿尔兹海默症所做的巨大努力以及对社会造成的重大影响。。

 

在调查阶段,他意识到中国老龄化加剧带来的巨大市场以及中美两国在阿尔兹海默症防治方面的差距,由于国内还没有这方面的创业公司,于是他下决心创办了脑医生。

 

目前,脑医生项目充分利用其国际化背景,大力整合国际和国内资源。其核心AI技术团队在海外有着丰富的数据处理,模型建立及算法开发的经验。其国内团队,熟悉中国市场的运作和推广。王思伦博士表示:“只有充分整合国内和国际资源,大力推进研发和落地,才能实现真正商业方面的成功。

 

除了AI技术人才的搭建,王博士还组建了一批由医生、IT、云计算、统计学、大数据等领域专家组成的团队,他们大多都毕业于国内外著名高校,如MIT,牛津大学,UC伯克利、斯坦福等著名学府。在王博士看来,医学AI是一个多学科交叉的领域,需要多个行业的专家共同参与才能把事情做好。


MRI图像的最优选择


在现实的临床中,CT、MRI、PET/SPECT各种影像都可以用来诊断老年痴呆症。通过比较,脑医生首先选择了MRI图像作为突破口。

 

王思伦表示:“MRI图像有很多优势:第一,在获取MRI图像时对人体没有放射性损伤。第二,MRI的结构性扫描在临床应用广泛,非常容易获得。第三获取成本低,时间短,通常情况下,患者拍MRI图像的成本在几百元左右,相比于PET\CT要便宜的多,另外拍摄时间短,不会对临床工作带来很多干扰。” 因此美国放射科学会也推荐结构MRI图像是诊断AD(阿尔兹海默症)的最佳影像学方式

 

脑医生的数据库准确来说有两个:一个是基于正常人群的人脑灰质体积,皮层厚度,白质体积和海马结构数据库。另一个是基于AD患者的人脑灰质体积,皮层厚度,白质体积和海马结构数据库

 

王思伦博士团队就是利用这两个数据库来训练人工智能模型。

清晰的用户模式

在商业方面,王思伦表示,公司预计可以在明年拿到CFDA的认证在此之前,公司将和5-8家地区性重要的三甲医院进行合作,把用户模式、收费模式和推广模式落实


此外脑医生也将与药企合作。目前中国在研发的神经退行性疾病药物有100多种,脑医生会和药企进行广泛合作并成为标准化的检测手段。


另外,脑医生项目具有广泛的临床应用性和重要的临床意义,非常适用于开展大规模阿尔兹海默症的人群筛查。


在融资方面,脑医生已经获得了数百万的天使轮融资,由道彤清辉领投,艾瑞资本和上海圣习跟投。王博士表示,目前A轮融资正在进行中。


国际上的其他研究团队


除了中国,在国际上也有其他的研究团队在做这样的事情。

 

今年6月份,韩国高科技科学院(Korea Advanced Institute of Science and Technology)和Cheonan公共卫生中心的科学家们通过深度学习(deep learning)开发出一项技术, 能以超过84%的准确度识别未来三年可能发展成为阿尔茨海默病的潜在病人。

 

他们的方法和脑医生有点类似。近年来,世界各地的阿尔茨海默病研究人员一直在建立一个健康人群与阿尔茨海默病患者脑图像的数据库,他们用的是大脑PET扫描图像而不是MRI图像。研究人员使用这个数据库来训练卷积神经网络,并且在此基础之上识别它们之间的区别。

 

该数据集由182位70多岁的健康人大脑图像和139位相似年龄的确诊阿尔茨海默病患者大脑图像组成。通过培训,该机器软件系统很快就学会了识别差异,精确度几乎达到了百分之九十

 

另一个案例是欧洲的,西班牙马拉加大学(University of Malaga)和格拉纳达大学(University of Granada)的研究人员携手合作,于今年的3月份在著名期刊《国际神经系统杂志》上发表了名为“用于阿尔茨海默病早期诊断的深度学习架构组合”的短文。这项研究提出了利用深度学习技术融合功能性图像和结构性图像来诊断阿尔茨海默病的方法。

 

该人工智能技术旨在对高级数据抽象建模,通过自动获取所关注的影响区域,让计算机学会区分健康人和病人的大脑。根据研究人员的解释,“该研究利用深度学习技术计算大脑功能预测方法和磁共振成像(MRI),预防阿尔茨海默病。为了实现这一目标,我们使用了不同的神经网络,对大脑的每个区域进行建模,然后再把它们结合起来。”他们目前并没有公布准确率。

声明:
1、凡本网注明“来源:小桔灯网”的所有作品,均为本网合法拥有版权或有权使用的作品,转载需联系授权。
2、凡本网注明“来源:XXX(非小桔灯网)”的作品,均转载自其它媒体,转载目的在于传递更多信息,并不代表本网赞同其观点和对其真实性负责。其版权归原作者所有,如有侵权请联系删除。
3、所有再转载者需自行获得原作者授权并注明来源。

最新评论

关闭

官方推荐 上一条 /3 下一条

客服中心 搜索 洽谈合作
返回顶部